Case Study: Comprehensive Oral Health Assessment & Treatment Plan (COHAT) for Leon, an 8-Year-Old Neutered Maine Coone x Ragdoll Crossbreed
Leon, a handsome 8-year-old male neutered Maine Coone x Ragdoll cat, presented with a mild decrease in appetite and weight loss. On clinical exam, his vet noted some tartar buildup on his canines and incisors as well as inflammation and bleeding from the gums, and was suspicious of potential dental issues. Due to Leon’s history of becoming highly stressed during clinic visits, a thorough examination of his mouth was impossible, his veterinarian recommended a comprehensive oral health assessment and treatment plan (COHAT) under general anaesthesia.

Preparation and Anxiety Management:
Understanding Leon’s anxiety, the veterinary team took special measures to ensure his comfort and relaxation. Leon was given 100mg Gabapentin, a calming medication, orally the night before and again two hours before the procedure. Upon arrival at the clinic, fear-free handling techniques were employed.
Leon was allowed to explore his environment at his own pace, ensuring he remained calm and stress-free.

Dental Assessment and Treatment:
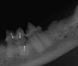
During the COHAT procedure, leons teeth were individually examined and charted, and full mouth X-rays were taken to assess his dental health comprehensively.
Visual examination and probing revealed significant tartar accumulation, gingival inflammation, and evidence of tooth resorption, particularly in the caudal teeth. The diagnosis of tooth resorption was confirmed with dental x-ray and extraction of these affected teeth was deemed necessary. Dental nerve blocks using bupivacaine at a dose of up to 1mg/kg were administered to ensure pain free extraction of these teeth.
Careful attention was paid to avoid complications such as root fractures or leaving behind any root fragments. Three affected teeth, on the right hand side of the mouth were successfully extracted during the initial COHAT, with plans for a second-stage procedure to address the remaining affected teeth on the left side of the mouth. By breaking down extensive dental procedures into manageable stages, we aim to minimise anaesthesia duration, aiming for a maximum time of 2 hours per procedure. This approach aims to mitigate the risks associated with prolonged anaesthesia, enhancing overall safety. Additionally, this strategy allows for one side of the mouth to heal before addressing the other.

Post-operative Care:
Following the procedure, Leon recovered well from anaesthesia and resumed eating soon after waking up. Subcutaneous meloxicam at a dose of 0.2mg/kg was administered for additional pain relief, and he was sent home with oral meloxicam to be given for the next five days. Three days postoperatively, Leon’s extraction sites were healing well, and he was eating normally at home.

Understanding tooth resorption in cats:
Tooth resorption is a common and often painful dental condition observed in cats, with studies showing a prevalence ranging from 28.5% to 67% in mature cats. Tooth resorption is characterised by the gradual loss of dental hard tissues due to cellular activities. While the exact cause remains unclear, we do know that the activation of odontoclasts, cells responsible for tooth structure remodelling, is involved.
The progression of tooth resorption can be insidious, with early stages often remaining asymptomatic. This lack of overt clinical signs makes early detection challenging without a comprehensive dental examination. At more advanced stages, signs may include changes in behaviour such as decreased grooming, difficulty eating, or pawing at the mouth,indicative of discomfort or pain. However, many affected pets show no obvious signs of discomfort, making diagnosis challenging without thorough examination.
This underscores the importance of COHAT and dental X-rays, especially in fearful pets like Leon, who cannot be examined consciously.
Conclusion:
Leon’s case emphasises the importance of comprehensive dental care, especially in pets with a history of stress during clinic visits. Tooth resorption is a common issue in cats, highlighting the necessity of COHAT and dental X-rays for early detection and proper management.
Regular dental examinations, COHATs under general anaesthetic and preventive care are essential for maintaining the dental health and general wellbeing of our pets.
